
ワイヤー・ブラケット矯正例
ワイヤー・ブラケット矯正例を紹介します。
主訴 | 2番目の歯が後ろにある |
---|---|
矯正装置 | マルチブラケット装置(スタンダードエッジワイズ) |
初診時年齢 | 16歳 |
診断 | 叢生を伴うAngleClass1、Skeletal Class1 |
抜歯の有無 | 非抜歯 |
来院頻度 | 4〜5週間 |
治療期間 | 18ヶ月 |
費用の目安 | 70〜80万円程度 |
リスク |
・歯に直接装置がつくので、磨きにくくなる ・装置が突然外れることがある ・装置が擦れて唇や頬に口内炎ができることがある ・装置・ワイヤーが唇側につくので目立ってしまう |
進捗1

進捗2

進捗3

主訴 | 上下の歯がガタガタしている |
---|---|
矯正装置 | マルチブラケット装置(スタンダード) |
初診時年齢 | 29歳 |
診断 | 叢生、前歯部交叉咬合を伴う両側AngleClass1、SkeletalClass1 |
抜歯の有無 | 左右上下第3大臼歯(おやしらず) |
来院頻度 | 4週〜5週に一度 |
治療期間 | 24ヶ月 |
費用の目安 | 70万円程度 |
リスク |
・歯に直接装置がつくので、磨きにくくなる ・装置・ワイヤーが唇側につくので目立ってしまう ・装置が突然外れることがある ・装置が擦れて唇や頬に口内炎ができることがある ・歯が動く時に疼痛や冷水痛などが生じることがある ・歯根が短くなってしまうことがある(歯根吸収) |
Before

After

主訴 | 前歯が噛まない |
---|---|
矯正装置 | マルチブラケット装置、ハビットブレーカー(悪習癖除去装置) |
初診時年齢 | 14歳 |
診断 | 開口を伴う AngleClass3傾向 |
抜歯の有無 | 無し |
来院頻度 | 4週〜5週間に1度 |
治療期間 | 11ヶ月 |
費用の目安 | 70万円程度 |
リスク |
・歯に直接装置がつくので、磨きにくくなる ・装置が突然外れることがある ・装置が擦れて唇や頬に口内炎ができることがある ・装置・ワイヤーが唇側につくので目立ってしまう |
進捗1

進捗2

進捗3

上記にて前歯で噛めるようにしていきます。
今回は抜歯後のスペースを埋める際の臼歯部の移動量が大きいためインビザラインのみでの矯正治療は困難と判断したため、一部ワイヤー矯正治療(全顎)を併用しております。
マウスピース矯正には得意な動きと、不得意な動きが存在します。 マウスピース矯正単体で治療を完結できるケースもあるますが、 どうしても苦手な動きが多い場合などには、ワイヤー矯正を併用することがあります。
主訴 |
歯並びがガタガタしていて、八重歯が気になる。 |
---|---|
治療名 | ワイヤー及びインビザラインによる矯正治療(上下左右4番抜歯症例) |
治療期間 |
25ヶ月(2年1ヶ月) (ワイヤー矯正期間11ヶ月、インビザライン矯正期間14ヶ月) |
治療費用 | 90万円程度 |
来院頻度 | 1〜2ヶ月に1回程度 |
リスク |
・装置が入るため、虫歯になるリスクが上がる ・矯正治療時違和感、咬合痛、知覚過敏症状が一時的に出ることがある ・一時的に顎関節に症状が出ることがある ・補助的にワイヤー等を使用することがある ・状況によってはワイヤー矯正に切り替えることがある ・顎間ゴムなどの使用を怠ると治療期間が延長することがある |
Before・after

主訴 |
上下八重歯みたいになっている |
---|---|
矯正装置 | マルチブラケット装置(スタンダード) |
初診時年齢 | 38歳 |
診断 | 叢生および開口を伴う両側AngleClass3、SkeletalClass3傾向 |
抜歯の有無 | 左右上下第3大臼歯(おやしらず) |
来院頻度 | 4週〜5週に一度 |
治療期間 | 22ヶ月 |
治療の目安 | 70万円程度 |
リスク |
・歯に直接装置がつくので、磨きにくくなる ・装置・ワイヤーが唇側につくので目立ってしまう ・装置が突然外れることがある ・装置が擦れて唇や頬に口内炎ができることがある ・歯が動く時に疼痛や冷水痛などが生じることがある ・歯根が短くなってしまうことがある(歯根吸収) |
Before

After

保定(治療後のケア)の症例を紹介します。
今回はワイヤー矯正終了後、保定を行い時間が経過した症例となります。保定に関しては後述します。
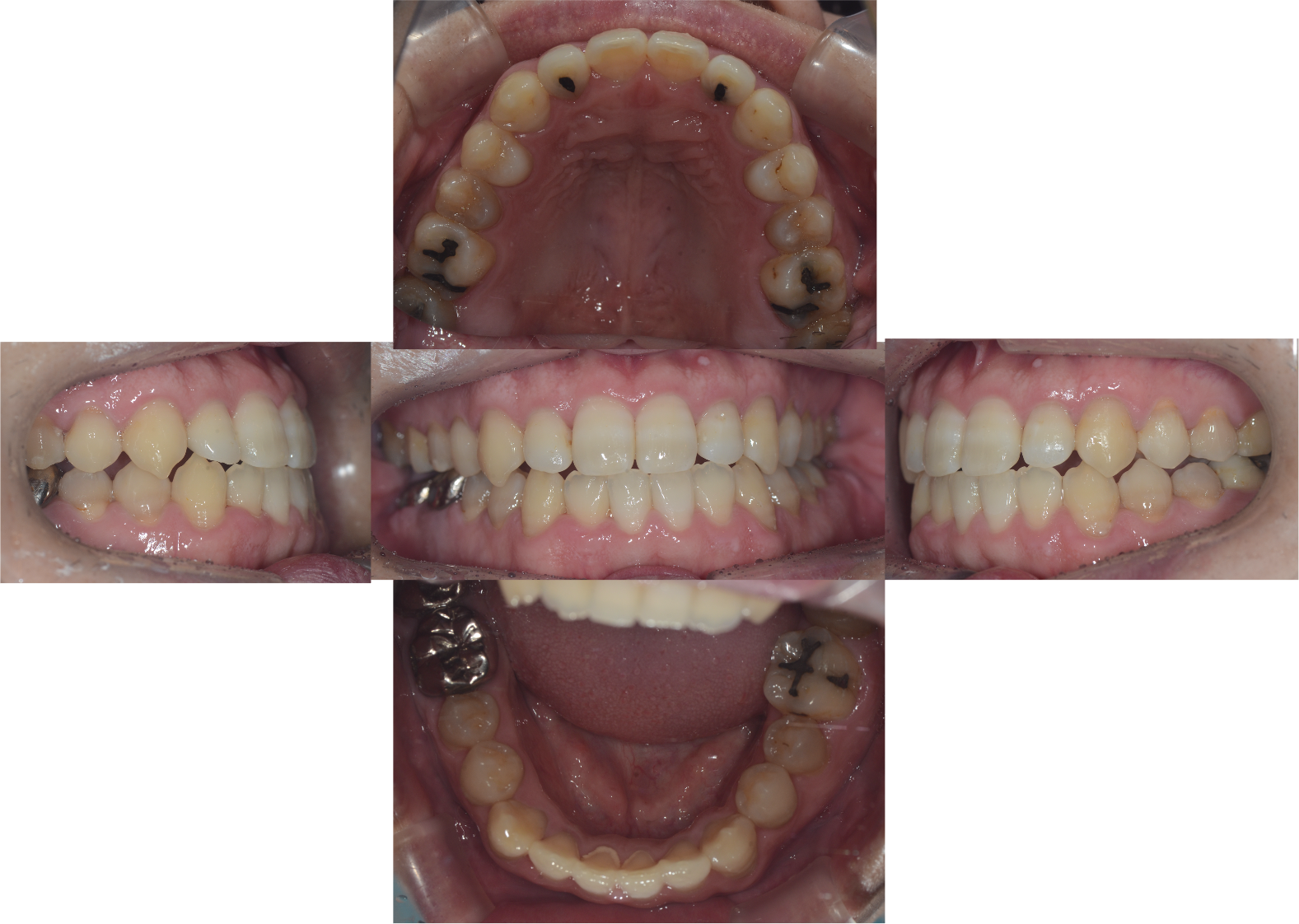
主訴 | 歯がガタガタしている。左奥歯が噛んでいない。 |
---|---|
治療名 | ワイヤーによる矯正治療(非抜歯症例) |
治療期間 | 20ヶ月(1年8ヶ月) |
治療費用 | 75万円程度 |
来院頻度 | 1ヶ月に1回程度 |
リスク |
・装置が入るため、虫歯になるリスクが上がる ・矯正治療時違和感、咬合痛、知覚過敏症状が一時的に出ることがある ・一時的に顎関節に症状が出ることがある ・補助的に顎間ゴム等を使用することがある ・顎間ゴム等の使用時間を守らないと治療期間が延びることがある |
保定について
保定とは矯正治療の動的治療が終了した後に、歯が後戻りを起こしたりしないように固定していくことを言います。直接歯の裏側に器具を固定したり、取り外しの装置を使用したり様々あります。今回のケースでは、取り外しの装置を選択しています。
保定は、矯正器具が外れた時から初めの3ヶ月間は四六時中(食事、歯磨き以外の時間)使用していただくようお願いしております。その後は就寝時に使用していただくのですが、矯正の動的治療を行っていた期間と同等の期間は使用継続していただくことを推奨しております。また、保定装置には、日々の歯ぎしりや、食いしばりから歯を守る効果もありますので、使用し続けていただいても構いません。
Before・after
