根管治療・歯内療法、感染根管治療の症例をご紹介します。2015年の初診時から2024年の現在にいたるまでの経過となります。治療から約9年後の現在も、症状や根尖病変の再発もなく良好な経過が確認できています。
主訴 | 歩くと目の下が響く感じがして歯も痛む |
---|---|
処置開始年齢・性別 | 29歳 男性 |
診断名 | 上顎右側第二小臼歯、上顎左側第一大臼歯根尖性歯周組織炎、左右歯性上顎洞炎 |
処置名 | 感染根管治療 |
処置部位 | 上顎右側第二小臼歯、上顎左側第一大臼歯 |
費用 | 保険診療 (補綴物はステイニングジルコニアクラウン) |
通院頻度 | 根管治療開始直後 2週間に1回程度 |
回復期 | 1ヶ月程度に1回 |
リスク |
・根の状況によっては保存不可能になる可能性がある ・歯根破折の可能性がある ・経年的に歯根、歯冠の変色が生じる可能性がある ・根尖病変が再発する可能性がある |
Before・After
初診時:2015年4月

初診時から8年2ヶ月経過:2023年6月
症状や、根尖病変の再発もなく、経過良好である。

右上第二小臼歯
2015年4月根管治療開始直後から2015年8月根管充填時
根管治療開始直後に右側の上顎洞違和感喪失。根尖病変も消失し、良好な結果が得られている。

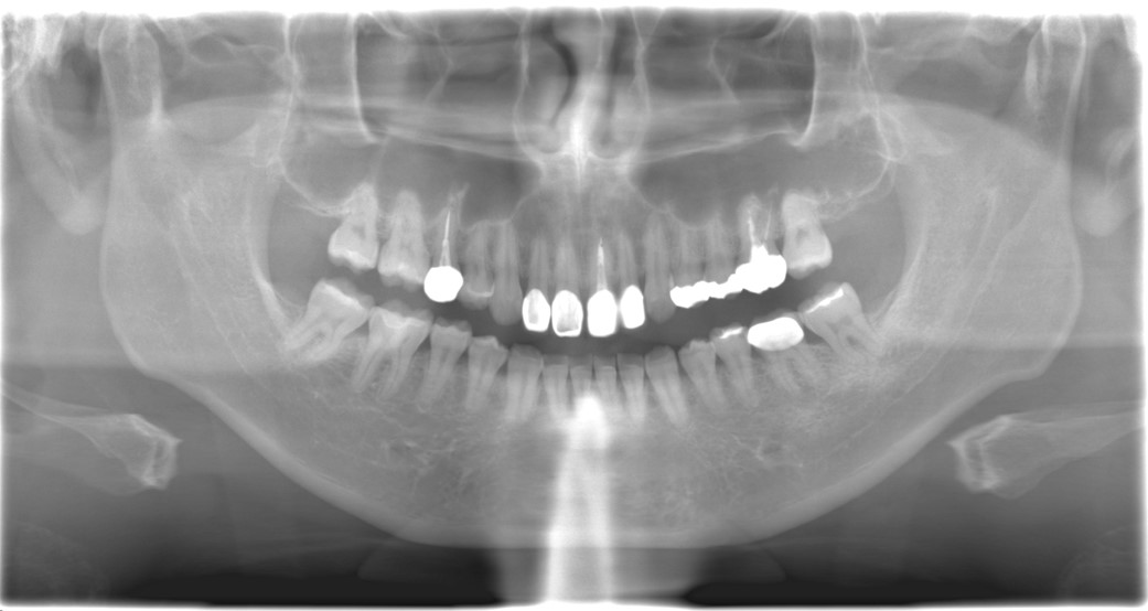
2024年3月撮影 根管充填8年7ヶ月後経過
根尖病変の再発もなく、上顎洞に違和感の再発もなく経過良好です。

左上第一大臼歯
2015年5月根管治療開始直後から2015年9月根管充填時
根管治療開始直後に左側の上顎洞違和感喪失。
根尖病変も消失し、肥厚していた上顎洞粘膜も改善が認められ、良好な結果が得られている。

2024年3月撮影 根管充填8年6ヶ月経過
根尖病変の再発もなく、上顎洞に違和感の再発もなく経過良好です。
