矯正治療において、マウスピース矯正のみでは思うような治療結果が得られないことがあります。歯を動かす際、装置により得意不得意があり、必ず動かす歯に対して反作用力を受ける歯が存在します。それをいかにコントロールするかが、矯正歯科治療では重要となります。
患者様にとって、できる限り負担なく治療を継続できること、治療後に理想の歯並びが得られること、どちらも考慮しながらよりお一人おひとりにあった治療をご提案させていただきます。そのため、治療にあたり下記のことをお願いすることがあります。
- 補助的にワイヤーを目立たないように使用する
- エラスティック(ゴム)を使用する
- スクリューアンカーを使用する
- 状況によってはワイヤーに切り替えることがある
もちろん症例によってはマウスピース矯正単体で治療することも可能です。マウスピース矯正(インビザライン)にご興味をお持ちの方は、お気軽に矯正の無料相談へご予約ください。
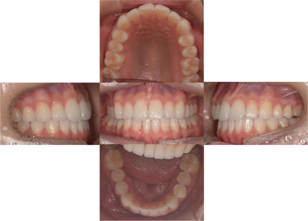
| 主訴 | 下の前歯のガタガタと前歯が出ている感じがが気になる | 
|---|---|
| 矯正装置 | インビザラインシステム、矯正用スクリューアンカー | 
| 初診時年齢 | 32歳 | 
| 診断 | 叢生および上顎前歯唇側傾斜を伴うAngleClass1、SkeletalClass1 | 
| 抜歯の有無 | 非抜歯 | 
| 来院頻度 | 4〜5週に1回 | 
| 治療期間 | 9ヶ月 | 
| 費用の目安 | 40万円程度 | 
| リスク | ・装置が擦れて唇や頬に口内炎ができることがある ・マウスピース装着時間を遵守しないと治療効果が得られない可能性があ ・スクリューアンカー埋入時、多少の疼痛が生じることがある ・歯根吸収を誘発する可能性があ | 
初診
 
                                                    スクリューアンカー埋入時
 
                                                    動的治療終了時
 
                                                    Before・After
 
                                                    | 主訴 | 前歯の変色と並びかた | 
|---|---|
| 矯正装置 | インビザラインシステム、加強固定装置 | 
| 初診時年齢 | 45歳 | 
| 診断 | 叢生を伴うAngleClass2、Skeletal Class1 | 
| 抜歯の有無 | 初診時すでに抜歯済み | 
| 来院頻度 | 3〜6週間おき | 
| 治療期間 | 24ヶ月 | 
| 費用の目安 | 補綴処置まで含め110万円程度 | 
| リスク | ・使用時間、期間を遵守しないと歯が移動しない ・アタッチメントと呼ばれる小突起(歯と同色)が歯の表面に着く ・紛失、破損した場合、再度型を取らなければならないことがある | 
進捗1
 
                                                    進捗2
 
                                                    進捗3
 
                                                    進捗4
 
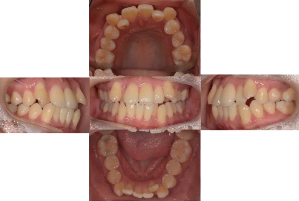
                                                    | 主訴 | 前歯が斜めになっている | 
|---|---|
| 矯正装置 | インビザラインシステム、矯正用スクリューアンカー | 
| 初診時年齢 | 19歳 | 
| 診断 | 左側第2大臼歯鋏状咬合(シザーズバイト)、下顎左側偏位を伴う右側AngleClass3、左側AngleClass1、SkeletalClass1 | 
| 抜歯の有無 | 非抜歯 | 
| 来院頻度 | 4〜8週に1回 | 
| 治療期間 | 22ヶ月(1年10ヶ月) | 
| 費用の目安 | 80万円程度 | 
| リスク | ・装置が擦れて唇や頬に口内炎ができることがある ・マウスピース装着時間を遵守しないと治療効果が得られない可能性がある ・スクリューアンカー埋入時、多少の疼痛が生じることがある ・歯根吸収を誘発する可能性がある | 
初診時
 
                                                    顎間ゴム装着時の様子
 
                                                    動的移動終了時
 
                                                    Before・After
 
                                                    | 主訴 | 前歯2本が出ている | 
|---|---|
| 矯正装置 | インビザラインシステム、エラスティックゴム、リンガルボタン(クリア) | 
| 初診時年齢 | 23歳 | 
| 診断 | 上顎前歯唇側傾斜を伴う両側AngleClass1、SkeletalClass1 | 
| 抜歯の有無 | 非抜歯 | 
| 来院頻度 | 4〜8週に1回 | 
| 治療期間 | 23ヶ月(1年11ヶ月) | 
| 費用の目安 | 80万円程度 | 
| リスク | ・装置が擦れて唇や頬に口内炎ができることがある ・マウスピース装着時間を遵守しないと治療効果が得られない可能性がある ・スクリューアンカー埋入時、多少の疼痛が生じることがある ・歯根吸収を誘発する可能性がある | 
初診時
 
                                                    動的治療終了時
 
                                                    Before・after
 
                                                    | 主訴 | 八重歯があり、口元の突出感が気になる | 
|---|---|
| 矯正装置 | インビザラインシステム、エラスティックゴム、リンガルボタン(クリア) | 
| 初診時年齢 | 29歳 | 
| 診断 | 叢生および上下歯性前突を伴う両側AngleClass1、SkeletalClass | 
| 抜歯の有無 | 上下左右第一小臼歯抜歯 | 
| 来院頻度 | 4〜8週間に1回 | 
| 治療期間 | 24ヶ月 | 
| 費用の目安 | 80万円程度 | 
| リスク | ・歯を並べるために抜歯が必要になる ・装置が擦れて唇や頬に口内炎ができることがある ・マウスピース装着時間を遵守しないと治療効果が得られない可能性がある ・エラスティックゴムを指定時間使用しないと治療効果が得られないことがある ・歯根吸収を誘発する可能性があ | 
初診時
 
                                                    動的治療終了時
 
                                                    Before・after
 
                                                    